Ce contenu est protégé par le droit d'auteur. Toute reproduction à l'extérieur des forums Alloprof est interdite et pourra être considérée comme une violation du droit d'auteur.
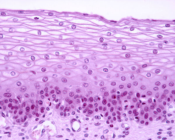
Les cellules formant le tissu épithélial sont serrées et disposées en couches afin de remplir leur fonction de barrière permettant ainsi à l’organisme d’être protégé contre les intrusions de microorganismes, les lésions et les pertes de liquides.
J'espère que cela ait pu t'aider et si tu as d'autres questions, n'hésite pas !
Bonne soirée !
0
Suggestions en lien avec la question
Suggestion en lien avec la question
Voici ce qui a été trouvé automatiquement sur le site, en espérant que ça t’aide!
Explication d'un(e) pro de la Zone d'entraide
Tu peux faire confiance à cette explication, car elle est donnée par une personne identifiée comme étant fiable par Alloprof.
Bonjour ScorpionAlpha6655,
Pour ce qui est de ta question, je t’invite à consulter cette fiche d’Alloprof qui explique de manière détaillée les types de tissus, y compris le tissu épithélial. https://www.alloprof.qc.ca/fr/eleves/bv/sciences/les-tissus-et-les-organes-s1249
J’espère que cette fiche t’aidera et n’hésite pas à poser d’autres questions dans le besoin.
LucioleLucide6774
Explication d'Alloprof
Cette explication a été donnée par un membre de l'équipe d'Alloprof.
Salut !
Le tissu épithélial (ou épithélium) tapisse généralement l’extérieur du corps et la surface interne des organes.
Ce contenu est protégé par le droit d'auteur. Toute reproduction à l'extérieur des forums Alloprof est interdite et pourra être considérée comme une violation du droit d'auteur.
Les cellules formant le tissu épithélial sont serrées et disposées en couches afin de remplir leur fonction de barrière permettant ainsi à l’organisme d’être protégé contre les intrusions de microorganismes, les lésions et les pertes de liquides.
J'espère que cela ait pu t'aider et si tu as d'autres questions, n'hésite pas !
Bonne soirée !
Suggestions en lien avec la question
Suggestion en lien avec la question
Voici ce qui a été trouvé automatiquement sur le site, en espérant que ça t’aide!